About us
We understand that visiting the dentist isn’t always easy. That’s why we go out of our way to create a calm, comfortable experience every time you’re here. Our priority is simple — to treat you the way we’d want to be treated: with respect, patience, and clear communication.
Our history
APN Dental has deep roots in Kansas City, beginning with Dr. Edward Nelson’s practice in the historic Professional Building in 1929. After Dr. Nelson’s retirement, Dr. David Follmer carried the practice forward, later joined by Dr. Thomas Anderson in 1987. By 1992, Dr. Anderson became owner, introducing modern comforts like nitrous oxide, music, and overhead TVs to make visits more enjoyable.
The practice expanded with new associates and a third location in Independence in 2000, continuing its tradition of compassionate family care. In 2025, Dr. Anderson partnered with Dr. Perry — who had once worked for him early in his career — officially forming Anderson Perry Dental. Then in 2026, the practice partnered with Dr. Tanner Neeland to form APN Dental as it stands today!
Today, our team blends decades of experience with a shared philosophy of respect, innovation, and patient-first dentistry.
Meet
Our Dentists
At APN Dental, we live by the Golden Rule — treating every patient with the same kindness, respect, and honesty we’d want for ourselves. Friendly family care and exceptional service aren’t extras here; they’re the heart of our practice and the way we’ve built lasting trust in the Kansas City community.
More Patient Stories

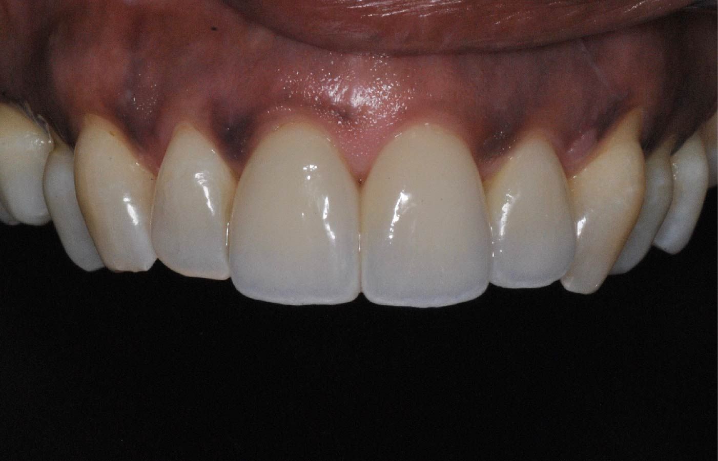
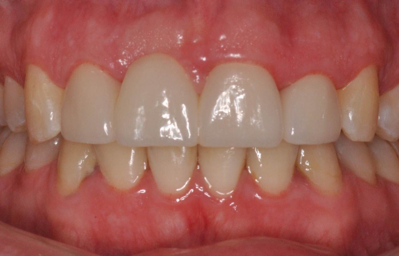
This patient was tired of having gold fronts, and we were able to restore her natural smile with a pair of beautiful veneers!
From Gold To Glass

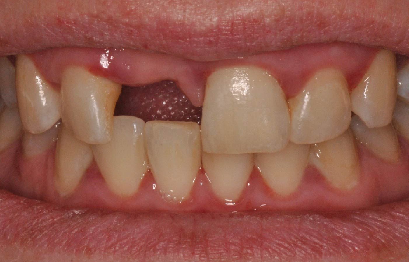
This patient was accidentally punched in the mouth, and though not an ideal situation, our porcelain restorations are an ideal solution to missing teeth! As if it never happened






